GASTRO&HEPA-News
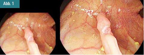
Bei einer 83-jährigen Patientin wird im Rahmen einer Coloskopie an der rechten Flexur ein flacher Polyp mit einem eingesenkten Areal diagnostiziert (IIa-c-Läsion). (Abbildung 1).
Bei einer 83-jährigen Patientin wird im Rahmen einer Coloskopie an der rechten Flexur ein flacher Polyp mit einem eingesenkten Areal diagnostiziert (IIa-c-Läsion). (Abbildung 1).
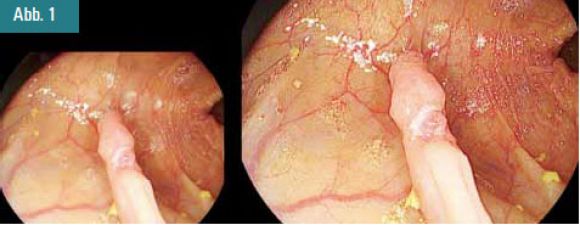
Es folgt eine Schlingenabtragung nach Unterspritzen mit Kochsalz, Suprarenin 1:100.000 und Indigokarmin (Abbildung 2).
Wie nennt sich das dabei entstandene Zeichen und was bedeutet es?
Wie lautet Ihre Diagnose?
Melden Sie sich an um weiter zu lesen ...
Tags: gastro&hepa-news endoskopie rätsel

Wir wollen Fachärzte und Pfleger topaktuell und wissenschaftlich fundiert über Studien, fachspezifische Entwicklungen und deren praktische Umsetzung informieren, um sie in ihrer Arbeit und Fortbildung zu unterstützen.
Wählen Sie dazu bitte Ihr Land aus.