GASTRO&HEPA-News
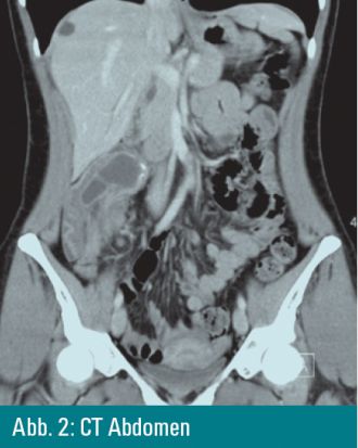
Eine 33-jährige Patientin wird wegen Erbrechen,
Obstipation und abdomineller Schmerzen vorstellig. Im Status ist im re.
Mittelbauch eine kindskopfgroße Resistenz tastbar. Die CT-Untersuchung
des Abdomens diagnostiziert einen teilweise verkalkten Tumor, der in das
Colon aszendens vaginiert ist, mit pathologisch vergrößerten
mesenterialen Lymphknoten. Die angeschlossene Ultraschalluntersuchung
bestätigt die Invagination, die mittels einer Gastrografin-Irrigoskopie
gelöst wird. Die angeschlossene Colonoskopie führt zur Diagnose.
Wie lautet Ihre Diagnose?
Melden Sie sich an um weiter zu lesen ...
Tags: gastro&hepa-news endoskopie rätsel

Wir wollen Fachärzte und Pfleger topaktuell und wissenschaftlich fundiert über Studien, fachspezifische Entwicklungen und deren praktische Umsetzung informieren, um sie in ihrer Arbeit und Fortbildung zu unterstützen.
Wählen Sie dazu bitte Ihr Land aus.